free hit counter

Aesthetic Dentistry

White Fillings

White Fillings in Brighton

Why white fillings?

White fillings provide a more natural look than an amalgam filling. You may hear the dentist talk about 'composite', 'glass ionomer' and 'compomer' which are all different types of white filling used in differing situations.

What will my dentist do?

  • Usually numb the area around the tooth with an injection - but some small fillings may not need an anaesthetic.
  • Remove any decay, together with any old filling material, using a small, high-speed drill.
  • Remove any weak unsupported part of the tooth which might break later.
  • Wash and dry the tooth by blowing water and then air onto it (the dentist will be holding something which looks like a water pistol).
  • Etch the surface to be restored with a gel solution, to help the filling stick firmly.
  • Coat the surface that is to be restored with a bonding agent (which acts like glue) and then place the filling material – this is placed into the cavity that is to be filled and it is shaped and contoured as required.
  • Harden the filling by pointing a bright (ultraviolet) light at it, inside your mouth (you will see the dentist and dental nurse protecting their eyes) – this is called 'curing'.
  • Trim and polish the filling as necessary.

What are the benefits?

  • Unlike silver (amalgam) fillings, white material sticks to teeth and can form edges, so it may be effectively used to repair front teeth that are chipped, broken, decayed or worn. It can also be used, as a 'veneer' to cover marks or discolouration that cleaning won't remove.
  • White fillings are less noticeable than silver fillings, which turn black in the mouth. White fillings come in a range of shades so they can be matched to the colour of your own teeth.
  • A tooth usually needs less preparation for a white filling than for a silver filling.
  • White fillings can sometimes be used in back teeth if there is not too much decay or damage. White fillings are also difficult to place in back teeth, as they need very dry conditions, which can be hard to achieve right at the back of your mouth. An onlay or crown may be a better option in some circumstances. Ask your dentist for advice.

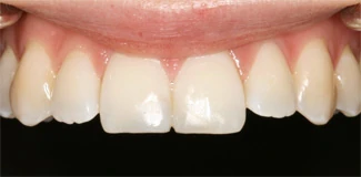
Example of white fillings

Patient had an accident and broke her anterior central incisors. Teeth were restored chairside using composite filling material.

Before treatment
Figure 1 - Before treatment
After treatment
Figure 2 - After treatment

Ready to make a change?

Contact the practice today for excellence in dental care in Brighton

01273 570 700

Request a Callback

Patient

Testimonials

The whole team are wonderful.

“I have been coming to Brighton Dental Clinic to see Dr Lynsey Crothers for a number of years. I have always found her to be calm, kind, patient, thorough and truthful. I recently had some restorative/cosmetic work and I am over the moon with it and people have commented on my teeth/smile. She is a perfectionist and very skilled - I can't believe the difference. I would 100% recommend. The whole team are wonderful.”

Rebecca Santos

25 January 2023

Amazing team, very professional!

“There are absolutely no words to describe how amazingly thankful I am to everyone at the Brighton Dental Clinic. Thank you, Dr Ilias and Dr Lynsey, for all the support and help I have received over the last few weeks. I definitely recommend the clinic.”

Mihaela Popa

16 August 2022

Simply The Best

“I have been attending this clinic since the 80's. I suffer (or did) from dentophobia. I'm more or less coming to the end of my treatment as I'm now everyone's 'gum chum' (big full denture smile) and it's given me cause to reflect on the treatment I've had over the decades mainly Feroz Jafferji in the early days and latterly Mick Fillery. Not only the dental treatment but for me the tailormade treatment considering my fear and also physical problems which all needed to be catered for before treatment even started. I felt soothed on a psychological level but a physical one too and the gentle reassuring and expert treatment then given has been second to none and if I had all my teeth again (my fault they all had to go over the years to the tooth fairy due to my neglect) I wouldn't hesitate in seeing Mick and if I knew then what I know now I would never have had a fear of going. Thanks too to all the nurses and receptionists always so helpful pleasant and kind. I guess when my treatment, for a probably final denture, is complete, I will leave with a designer smile of relief but a little cavity in my heart that can never be expertly filled.”

Shelley Phoenix

20 April 2022

More Testimonials